Smile Gallery

At Paparian Dental Associates we are dedicated to creating lasting smiles through comprehensive care using the latest technology. We proudly offer personalized, patient-driven care focused on the health, beauty, and functionality of your teeth. Please browse our smile gallery below and contact us to schedule a smile consultation today.

The image shows a person with a wide smile displaying yellowed teeth and a mouth that appears to be open during a conversation or presentation.

Before

The image shows a close-up of a person s smiling face with teeth, likely for dental care or orthodontic purposes.

After

The image shows two photographs of a person s teeth with an open mouth, revealing decayed and discolored teeth, which appear to be in poor condition.

Before

The image shows a close-up view of an open mouth with teeth showing signs of decay and wear, including yellowing and staining on the front teeth.

After

The image shows a close-up of a person s teeth with a wide smile, revealing a set of straight white teeth and a dimple on one side of the mouth.

Before

The image displays a close-up of a person s face with a broad smile showing white teeth, and the person has a beard and mustache.

After

The image shows a close-up of a person s teeth with a focus on a dental implant and surrounding natural teeth.

Before

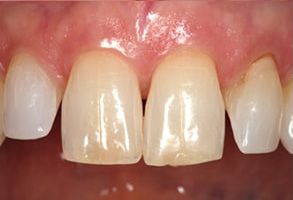
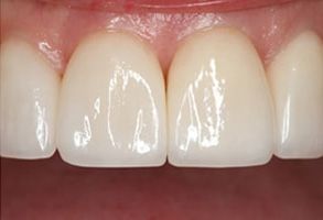
The image shows a close-up view of a person s teeth with a focus on dental veneers, highlighting their bright white color and glossy finish.

After

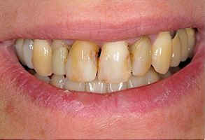
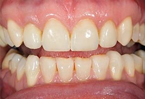
The image shows a close-up view of a person s teeth with significant discoloration and decay, which appears to be a before and after comparison of dental treatment, likely showcasing the results of teeth whitening or dental restoration.

Before

The image shows a close-up view of an individual s teeth with a focus on a smile, featuring white and yellow dental enamel, and is likely used for dental health or cosmetic purposes.

After

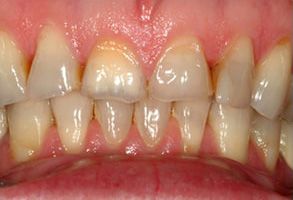
The image shows a close-up view of a person s teeth with visible signs of decay and discoloration, including yellowing and staining, especially on the front teeth, which are prominently displayed in the foreground.

Before

The image shows a close-up of a person s teeth with a focus on the front teeth, which appear to be yellowed or stained, possibly due to coffee consumption or other factors.

After

The image shows a close-up view of a person s mouth with a large gap between their teeth and visible staining on the front teeth, which are yellowed and have some darker spots.

Before

The image shows a close-up view of a person s teeth with a focus on the front lower teeth, which appear to be a bridge or dental implant.

After

Connect With Us

We're always here when you need us, providing prompt answers to all your questions

SMS Consent
Submit

Thank You!

We appreciate you taking the time to visit our site. We'll review your message and be in touch with you soon.

Continue

Let's work together to make your smile unforgettable!

About Us

Our mission is simple: to deliver great oral health and the beautiful smile you deserve. We value your trust and are committed to exceeding your expectations with every solution we provide.

Questions?